ZC1024 HE染色

实验收费标准:
| 项目编号 | 项目名称 | 计价单位 | 单价 |
| ZC1024 | HE染色 | 张 | 15元 |
服务介绍:
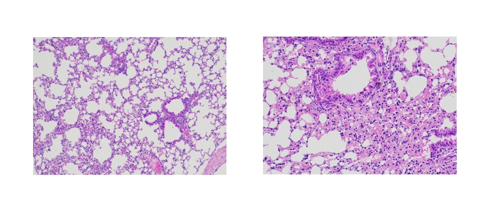
HE染色即苏木素-伊红染色法(hematoxylin-eosin staining)酸性染料伊红使细胞质以及胞外基质呈现红色碱性染料苏木素则使细胞核内染色质和胞质中的核酸呈现蓝紫色。
实验结果展示:

引用文献:
Xuening Yu, Rui Liu, Yuewen Xu, Xiaoyang Liu, Yoshimasa Nakamura, Dayong Zhou
期刊: FOOD CHEMISTRY| 发表时间: 2026-03-25 | DOI: 10.1016/j.foodchem.2026.149022| 影响因子: 9.8
Role of the Maillard reaction products of oyster peptides and chitosan oligosaccharide in chelation with zinc: restoring testicular injury and the testosterone synthesis pathwayXuening Yu, Shijie Dou, Rui Liu, Xiaoyang Liu, Yoshimasa Nakamura, Dayong Zhou
期刊: Food & Function| 发表时间: 2025/10/01 | DOI: 10.1039/D5FO01313E| 影响因子: 5.4
Haijie Wang , Manik Prabhu Narsing Rao , Min Cheng , Mingsu Xian , Yinshuang Zhou , Lulu Zhou , Heqing Cao , Wen-Jun Li , Andriy Sibirny , Feng Wang
期刊: Journal of bioscience and bioengineering | 发表时间: 2023/02/11 | DOI: 10.1016/j.jbiosc.2023.01.001| 影响因子: 2.9
Rynchopeterine inhibits the formation of hypertrophic scars by regulating the miR-21/HIF1AN axis.
Wenbin Zhao , Jianzhou Ye , Xuesong Yang , Jialan Wang , Lin Cong , Qiongyu Zhang , Jiaqi Li
期刊: Experimental cell research| 发表时间: 2024/05/31 | DOI: 10.1016/j.yexcr.2024.114114| 影响因子: 3.5
Ke Liu , Yuying Zhang , Han Cai , Shuang Song , Chunqing Ai , Jingfeng Yang
期刊: Journal of the science of food and agriculture| 发表时间: 2025/09/01 | DOI: 10.1002/jsfa.70108| 影响因子: 3.5



销售咨询